首頁 >> 供求商機
01
超高分辨率,細節更清晰

02
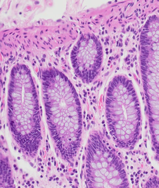
12軸校正,讓色彩還原更精準

12區示意圖


樣品:HE染色結腸
03
Peltier制冷,信噪比更佳


04
寬光譜,拓展紅外成像邊界

樣品:Ptk2,染色:Cy7

IR截至濾鏡切換桿
05
AI識別場景,采集更便利

AI自動識別對比圖
06
手動拼接明場和熒光大圖

手動熒光拼圖
07
線性模式采集,實現定量分析

Evident提供了滿足不同應用需求的多款顯微數碼相機。在選擇您需要的相機時,合適的參數至關重要;我們不同型號的顯微相機可涵蓋從一般生物學研究、教學、病理研究、細胞培養、胚胎學和藥物研發等的多種應用場景。Evident的DP顯微相機家族產品適用于包括熒光、明場和紅外成像在內的多種觀察方法。

Evident了解成像對于您的重要性,我們的顯微數碼相機以優良的光學器件、出色的細節和智能成像功能幫助您觀察圖像細節并提高工作質量。